


Tooth saved and free of pain & infection
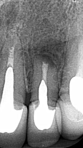
Sara (name changed to anonymise) attended my clinic with pain and infection in relation to a very heavily restored front tooth. Her dentist could no longer help her and advised that the tooth should be taken out.
She was worried about the consequences of losing her tooth and decided to seek advice from me to determine whether it was possible to treat this tooth again. We agreed to perform surgery to remove the infection and also encouraged healing by adding her own blood plasma to the bone space to help with healing. Seven months later, we were delighted to see the infection had cleared and bony healing occurring. The tooth was saved and is still going two years later!
This meant she avoided the need to take the tooth out and face more expensive options to restore the gap!